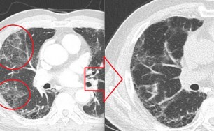
기흉
호흡기 질환만 연구, 숨케어한의원
 
                
                
                아무래도 한의사도 집중해서 연구하고 치료하는 분야가 다르기 때문에 그렇습니다.
사람은 생김새가 전부 다르듯이 질병의 양상 또한 다르다고 할 수 있습니다.
특히 한방치료는 이 점을 더욱 중시하는데 비슷해 보이는 증상 속에서도 자세히 검진하면 그 차이를 확인할 수 있습니다. 
따라서 반복 재발되는 기흉 치료에 있어서 한의사의 경험과 실력은 매우 중요합니다.
                    북경과 상해의 호흡기 센터에 연수 다녀왔습니다.
                상해에 있는 용화병원 호흡기 센터에 연수 다녀 왔습니다.
                    용화병원은 상해중의학대학 부속 병원으로 국가지정 가장 높은 등급의 병원입니다.
난치병 치료의 대가로 손꼽이는 인물로 이사무(리스마오)선생이 있습니다. 
중국 최고 의사 호칭인 국의대사(國醫大師)로 지정되었으며 현재는 수제자 왕사평 선생을 통해서 의술이 이어지고 있습니다. 
그의 진료실에서 직접 사사받을 수 있는 기회를 가졌습니다.
                            이사무 선생의 진료실에서
                        


주소: 서울시 강남구 남부순환로 359길 12 향덕빌딩3층
지하철 3호선 양재역 4번 출구에서 도보로 3~5분
1층 후문에는 전용주차장이 있습니다자세히보기